Chapitres
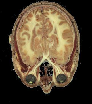
Visible Human Project
Un homme et une femme ont donné leur corps à la science et accepté d'être découpés après leur mort (l'homme était un condamné à mort américain....).
Les coupes anatomiques réalisées tous les millimètres pour l'homme, tous les 1/3 de millimètre pour la femme ont été numérisées et tout internaute peut appeler n'importe quelle coupe (axiale, coronale ou saggitale).
Bien évidemment, on n'a pas fait trois coupes (question pratique qui vient tout de suite à l'esprit des élèves !) mais une seule, axiale. Les coupes coronales et parasagittales ont été obtenues par reconstitution (d'où la présence parfois de bandes ou de décalages).
Très impressionnant et tout à fait passionnant pour étudier la biologie humaine
De nombreux sites miroirs existent avec ces photos et même des vidéos.
Coupes anatomiques d'un homme ou d'une femme
Vous pourrez choisir entre homme et femme et entre tête et corps entier.
Prendre pour plus de visibilité les écrans "larges" (qui sont malgré tout petits)
Sur internet, ces images ont été reproduites et aggrandies






















Si vous désirez une aide personnalisée, contactez dès maintenant l’un de nos professeurs !